Eltz we can!
Sehen Sie hier unsere Behandlungserfolge
Sehen Sie hier unsere Behandlungserfolge
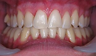
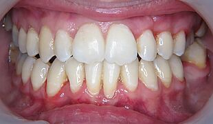
- Offener Biss
Michael hatte einen offenen Biss und wurde in 25 Monaten mit einer festsitzenden Zahnregulierung im Rahmen einer kieferorthopädisch-kieferchirurgischen Kombinationstherapie behandelt.
Vorher
Nachher
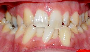
Michael - Offener Biss
Michael wurde in nur 11 Monaten mit einer festsitzenden Zahnregulierung mit durchsichtigen Brackets im Rahmen einer kieferorthopädisch-kieferchirurgischen Kombinationstherapie behandelt.
Vorher
Nachher
Janine
Janine in 21 Monaten mit einer festsitzenden Zahnregulierung mit durchsichtigen Brackets im Rahmen einer kieferorthopädisch-kieferchirurgischen Kombinationstherapie behandelt.
Vorher
Nachher
Simone
Simone wurde in nur 7 Monaten mit einer festsitzenden Zahnregulierung im Rahmen einer kieferorthopädisch-kieferchirurgischen Kombinationstherapie behandelt.
Vorher
Nachher
Verena
Verena wurde in nur 11 Monaten mit einer festsitzenden Zahnregulierung im Rahmen einer kieferorthopadisch-kieferchirurgischen Kombinationstherapie behandelt.
Vorher
Nachher
Fabian - Engstand; Kreuzbiss
Fabian hatte einen Engstand und Kreuzbiss. Er wurde mit einer festsitzenden Zahnregulierung mit durchsichtigen Brackets im Rahmen einer kieferorthopädisch-kieferchirurgischen Kombinationstherapie behandelt.
Vorher
Nachher
Petra
Petra wurde mit einer festsitzenden Zahnregulierung im Rahmen einer kieferorthopadisch-kieferchirurgischen Kombinationstherapie behandelt.
Vorher
Nachher
Jakob
Jakob wurde mit einer festsitzenden Zahnregulierung im Rahmen einer kieferorthopädisch-kieferchirurgischen Kombinationstherapie behandelt.
Vorher
Nachher
Nina - Engstand, Überbiss
Nina wurde zuerst mit den durchsichtigen Invisalign Schienen und dann mit einer festsitzenden Zahnregulierung im Rahmen einer kieferorthopädisch-kieferchirurgischen Kombinationstherapie behandelt.
Vorher
Nachher
Elisabeth - Engstand; Kreuzbiss
Elisabeth hatte einen Engstand und einen Kreuzbiss. Sie wurde mit einer festsitzenden Zahnregulierung mit durchsichtigen Brackets im Rahmen einer kieferorthopädisch-kieferchirurgischen Kombinationstherapie in 21 Monaten behandelt.
Vorher
Nachher
Günther - Mandibuläre Progenie
Günther wurde mit einer festsitzenden Zahnregulierung mit durchsichtigen Brackets im Rahmen einer kieferorthopädisch-kieferchirurgischen Kombinationstherapie behandelt.
Vorher
Nachher
Leonhard
Leonhard wurde in 8 Monaten mit einer festsitzenden Zahnregulierung im Rahmen einer kieferorthopadisch-kieferchirurgischen Kombinationstherapie behandelt.
Vorher
Nachher
Sonja
Sonja wurde in nur 13 Monaten mit einer festsitzenden Zahnregulierung mit durchsichtigen Brackets im Rahmen einer kieferorthopadisch-kieferchirurgischen Kombinationstherapie behandelt.
Vorher
Nachher
Cengiz - Kreuzbiss; verkehrter Überbiss
Cengiz hatte einen verkehrten Überbiss in der Front und einen beidseitigen Kreuzbiss. Er wurde in nur 7 Monaten mit einer festsitzenden Zahnregulierung im Rahmen einer kieferorthopädisch-kieferchirurgischen Kombinationstherapie behandelt.
Vorher
Nachher
Anna - Offener Biss
Anna hatte einen offenen Biss. Sie wurde in nur 12 Monaten mit einer festsitzenden Zahnregulierung mit durchsichtigen Brackets im Rahmen einer kieferorthopadisch-kieferchirurgischen Kombinationstherapie behandelt.
Vorher
Nachher
Lisa - Kreuzbiss
Lisa wurde in 32 Monaten mit den durchsichtigen Invisalign Schienen im Rahmen einer kieferorthopädisch-kieferchirurgischen Kombinationstherapie behandelt.
Vorher
Nachher
Lisa
Lisa hatte einen verkehrten Überbiss in der Front und wurde in nur 8 Monaten mit einer festsitzenden Zahnregulierung im Rahmen einer kieferorthopadisch-kieferchirurgischen Kombinationstherapie behandelt.
Vorher
Nachher
Cathrina
Cathrina wurde in nur 11 Monaten mit einer festsitzenden Zahnregulierung mit durchsichtigen Brackets im Rahmen einer kieferorthopädisch-kieferchirurgischen Kombinationstherapie behandelt.
Vorher
Nachher
Anastasia - Kreuzbiss
Anastasia wurde in 17 Monaten mit einer festsitzenden Zahnregulierung im Rahmen einer kieferorthopadisch-kieferchirurgischen Kombinationstherapie behandelt.
Vorher
Nachher
Wir freuen uns auf Sie!
Unsichtbar, schnell & sanft zum Traumlächeln im
Eltz Institut für Zahnregulierung
Bitte treffen Sie Ihre Auswahl. Gerne beraten wir Sie auch telefonisch unter 01 358 3181.
Neu: Jetzt online Beratung buchen und 0% Ratenzahlung bis Ende sichern!
Erwachsene
Zahnregulierung für Erwachsene
Für alle Zahnfehlstellungen
- ✓ Alle Methoden
- ✓ Beratung gratis
Kinder & Jugendliche
Gratis Zahnspange
Für schwere Zahnfehlstellungen
- ✓ Beratung gratis
Kinder & Jugendliche
Unsichtbare Zahnschienen
Für alle Zahnfehlstellungen
- ✓ Beratung 50€
(bei Buchung einer Aligner Behandlung angerechnet)
Alle Altersgruppen
Kiefergelenkstherapie
Für spezielle Kieferbeschwerden
- ✓ Beratung 150 €
Wir bitten um telefonische Abklärung, ob Ihre Beschwerden in den Bereich Kieferorthopädie oder Physiotherapie fallen.
Alle Altersgruppen
Kieferorthopädische kieferchirurgische Kombinationstherapie
Für Komplexe Zahnfehlstellungen
- ✓ Beratung gratis
Alle Altersgruppen
Zahnschmerzen, Prophylaxe, Mundhygiene, ...?
Bitte konsultieren Sie Ihren Zahnarzt.


OA Dr. Lutz Hodecker
Dr. Alexander Gugenberger
Prim. Dr. Maija Eltz
Dr. Kathrin Neugschwandtner