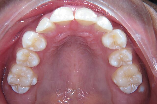
Blessy`s Zahnspange

Blessy hatte einen Engstand und wurde 17 Monate mit einer festsitzenden Zahnspange behandelt.

Alter13 Jahre
Dauer17 Monate
MethodeFestsitzend

jetzt Termin buchen
Blessy`s Zahnspange 1
Blessy`s Zahnspange 1
  • Engstand

Vorher Nachher Fotos

Blessy`s Zahnspange Vorher 1
Blessy`s Zahnspange Nacher 1
Blessy`s Zahnspange Vorher 1
Blessy`s Zahnspange Nacher 1
Blessy`s Zahnspange Vorher 1
Blessy`s Zahnspange Nacher 1
Blessy`s Zahnspange Vorher 1
Blessy`s Zahnspange Nacher 1

Auf uns können Sie vertrauen!

Die Kieferorthopädie Eltz Wien hat den Invisalign Diamond Apex
Die Kieferorthopädie Eltz Wien Zahnspangen sind auf Doctify top bewertet
Die Kieferorthopädie Eltz Wien Zahnspangen sind auf Proven Expert top bewertet
Eltz Zahnspangen sind ISO zertifiziert

Warum Zahnspange im Eltz Institut für Kieferorthopädie?

Zahnspange Erfahrung

10.000+

Wir haben 40 Jahre Erfahrung und in dieser Zeit schon mehr als 20.000 Patient:innen erfolgreich behandelt.

Alle Zahnfehlstellungen

Alle Zahnfehlstellungen

Von kleiner Zahnlücke bis Großbaustelle - wir beheben mühelos alle Zahnfehlstellungen.

Zahnspange für Kinder und Erwachsene

Alle Altersgruppen

Von Kleinkind bis Seniorin - es ist nie zu früh oder spät für eine Zahnspange bei Eltz.

Zahnspange Dauer

Kurze Behandlungsdauer

Aufgrund unserer hohen Erfahrung dauern Zahnregulierungen bei uns im Durchschnitt nur 12,7 Monate.

3D Simluation der Zahnspange

3D Simulation

Mit unserer modernen Technik sehen Sie schon vor der Behandlung Ihr zu erwartendes Ergebnis.

Kieferorthopädie Wien

Kieferorthopäden

Bei uns werden sie ausschließlich von kieferorthopädischen Fachärzten behandelt.

Zahnarzt Öffnungszeiten

Lange Öffnungszeiten

Sie erreichen uns telefonisch Mo-Do von 08:30-18:30 Uhr und Fr von 08:30-17:30 Uhr.

Unsichtbare Zahnspange

Unsichtbare Zahnspange

Unser Institut ist spezialisiert auf die Behandlung mit der unsichtbaren Zahnspange Invisalign®.

Zahnspange Kosten

Eltz Finanzierung

Die Kosten einer Zahnspange können Sie bei uns in leistbaren & zinsfreien Raten bezahlen.

Zahnspange mit Garantie

Eltz Garantie

Wir behandeln Sie so lange weiter, bis Sie mit Ihrem Ergebnis zufrieden sind!


Eltz Institut für unsichtbare Zahnspangen Wien Eltz Institut für unsichtbare ZahnspangenWien

Blick ins Eltz Institut

» Galerie öffnen

Unsichtbar, schnell & sanft zum Traumlächeln!
Jetzt gratis Beratung buchen
Termin buchen01/3583 100

01/3583 100
Termin buchen

Information für Ukrainer »

zurück zum Hauptmenü
Kinder & Jugendliche

Gratis Zahnspange

Adresse

Eltz Institut für Zahnregulierung
Dorotheergasse 7/5
1010 Wien

Telefonzeiten

Mo - Do von 8:30 - 18:30 Uhr
Fr von 8:30 - 17:30 Uhr

Kontakt

01 358 31 00
Google Maps

Wer ist geeignet?

Kinder und Jugendliche zwischen 6 und 18 Jahren, die aufgrund ihrer schweren Zahnfehlstellung die Voraussetzungen für die gratis Zahnspange erfüllen.

Was passiert beim Termin?
  • Dauer 10 Minuten
  • Anamnese
  • Kieferorthopädische Untersuchung
  • IOTN Feststellung
  • Beratung
  • Bitte bringen Sie die e-card mit!
Unsere Spezialisten
  • OA Dr. Lutz Hodecker
  • Dr. Alexander Gugenberger
Ihre Vorteile
  • ✓ Gratis Beratung
  • ✓ Gratis Behandlung
  • ✓ Schwere Fehlstellungen
Kinder & Jugendliche

Unsichtbare Zahnschienen

Adresse

Eltz Institut für Zahnregulierung
Dorotheergasse 7/3
1010 Wien

Telefonzeiten

Mo - Do von 8:30 - 18:30 Uhr
Fr von 8:30 - 17:30 Uhr

Kontakt

01 358 31 00
Google Maps

Wer ist geeignet?

Kinder und Jugendliche mit leichten bis schweren Zahnfehlstellungen, die eine unsichtbare und bequeme Behandlungsmethode ohne Einschränkungen im Alltag wünschen.

Was passiert beim Termin?
  • Dauer 30 Minuten
  • Anamnese
  • Kieferorthopädische Untersuchung
  • Beratung
  • Behandlungsstart (optional)
Unsere Spezialisten
  • Prim. Dr. Maija Eltz
  • Dr. Kathrin Neugschwandtner
Ihre Vorteile
  • ✓ Beratung 50€
  • ✓ 5D Diagnostik
  • ✓ 3D Simulation
  • ✓ Unsichtbare Aligner
  • ✓ Alle Fehlstellungen
  • ✓ 0% Ratenzahlung
  • ✓ Sofortzahler Rabatt
Erwachsene

Zahnregulierung für Erwachsene

Adresse

Eltz Institut für Zahnregulierung
Dorotheergasse 7/3
1010 Wien

Telefonzeiten

Mo - Do von 8:30 - 18:30 Uhr
Fr von 8:30 - 17:30 Uhr

Kontakt

01 358 31 00
Google Maps

Wer ist geeignet?

Erwachsene jeden Alters, die eine Verbesserung der Zahnstellung wünschen, sei es aus ästhetischen oder gesundheitlichen Gründen.

Was passiert beim Termin?
  • Dauer 30 Minuten
  • Anamnese
  • Kieferorthopädische Untersuchung
  • Beratung
  • Behandlungsstart (optional)
Unsere Spezialisten
  • Prim. Dr. Maija Eltz
  • Dr. Kathrin Neugschwandtner
Ihre Vorteile
  • ✓ Gratis Beratung
  • ✓ 5D Diagnostik
  • ✓ 3D Simulation
  • ✓ Unsichtbare Aligner
  • ✓ Alle Fehlstellungen
  • ✓ 0% Ratenzahlung
  • ✓ Sofortzahler Rabatt
Alle Altersgruppen

Kiefergelenkstherapie

Adresse

Eltz Institut für Zahnregulierung
Dorotheergasse 7/3
1010 Wien

Telefonzeiten

Mo - Do von 8:30 - 18:30 Uhr
Fr von 8:30 - 17:30 Uhr

Kontakt

01 358 31 00
Google Maps

Wer ist geeignet?

Patienten jeden Alters, die unter Kiefergelenks­beschwerden oder funktionellen Einschränkungen leiden.

Was passiert beim Termin?
  • Dauer 30 Minuten
  • Anamnese
  • Untersuchung des Kiefergelenks
  • Beratung
Unsere Spezialisten
  • Prim. Dr. Maija Eltz
Ihre Vorteile
  • ✓ Beratung 150€
  • ✓ 5D Diagnostik
  • ✓ Kurze Dauer
Alle Altersgruppen

Kiefer­orthopädisch
kiefer­chirurgische Kombinations­therapie

Adresse

Eltz Institut für Zahnregulierung
Dorotheergasse 7/3
1010 Wien

Telefonzeiten

Mo - Do von 8:30 - 18:30 Uhr
Fr von 8:30 - 17:30 Uhr

Kontakt

01 358 31 00
Google Maps

Wer ist geeignet?

Patienten jeden Alters mit komplexen Zahn- und Kieferfehlstellungen, die eine kombinierte kieferorthopädisch-kieferchirurgische Behandlung benötigen.

Was passiert beim Termin?
  • Dauer 30 Minuten
  • Anamnese
  • Untersuchung
  • Beratung
  • Behandlungsstart (optional)
Unsere Spezialisten
  • Prim. Dr. Maija Eltz
Ihre Vorteile
  • ✓ Gratis Beratung
  • ✓ 5D Diagnostik
  • ✓ Alle Methoden
  • ✓ Alle Fehlstellungen
  • ✓ 0% Ratenzahlung
  • ✓ Sofortzahler Rabatt
  • ✓ Enge Zusammenarbeit mit Kieferchirurgen
Beste Bewertungen für ein schönes Lächeln im Eltz Institut
Die Nummer 1 auf Doctify:

Wir schaffen es immer:
Unkompliziert, schnell & sanft zum Traumlächeln!

Gratis Beratung, kurze Behandlungs­­dauer, alle Methoden, leistbare Raten­­zahlung, Unterstützung bei Kasse & Versicherung. Buchen Sie noch heute Ihren Termin bei uns!

Dr. Maija Eltz, Kieferorthopädin im Eltz InstitutIhre Prim. Dr. Maija Eltz

Cookie Einwilligung

Wir ersuchen um Ihre Zustimmung für die Speicherung von Cookies. Marketing-Cookies werden erst mit Ihrer Zustimmung verwendet. Mehr erfahren

ablehnen akzeptieren
  01 358 31 01 / Termin vereinbaren