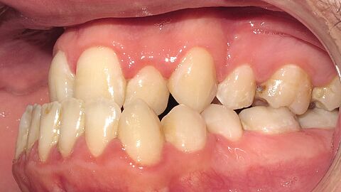
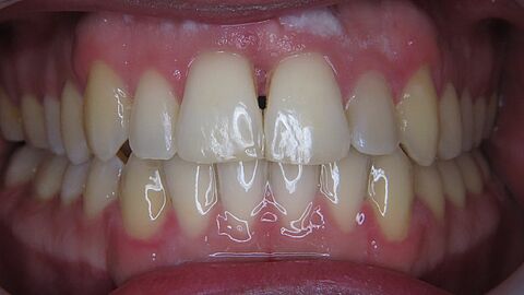
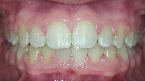
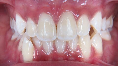
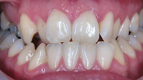
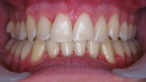
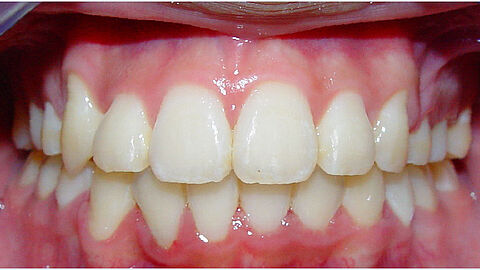
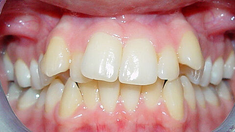
Eltz schafft es immer: Vorher-Nachher Fotos Mit über 20.000 erfolgreichen Patient:innen zählen wir zu den größten Instituten für Zahnregulierung in Europa. Dabei haben wir uns zwar auf Invisalign besonders spezialisiert, bieten aber sämtliche kieferorthopädische Behandlungsoptionen von Brackets, über innenliegende Zahnspange, bis hin zur kieferorthopädischen Kombinationsbehandlung an. alle anzeigen Kinder Erwachsene Altersgruppe alle anzeigen Invisalign® Festsitzend Methode alle anzeigen Engstand Kreuzbiss Offener Biss Protrusion Rückbiss Tiefbiss Überbiss Vorbiss Zahnlücken Scherenbiss Fehlstellung alle anzeigen weiblich männlich Geschlecht Video Analyse Happy Moment Invisalign® 31 Monate Martina`s Zahnspange Engstand Video Analyse Happy Moment Invisalign® 13 Monate Katharina`s Zahnspange Video Analyse Happy Moment Invisalign® 19 Monate Rene`s Zahnspange Engstand Video Analyse Happy Moment Festsitzend Danijelas Zahnspange Video Analyse Happy Moment Invisalign® Lisa`s Zahnspange Kreuzbiss Video Analyse Happy Moment Festsitzend 22 Monate Carla`s Zahnspange Tiefbiss Vorbiss Video Analyse Happy Moment Invisalign® 12 Monate Dominik`s Zahnspange Engstand Kreuzbiss Video Analyse Happy Moment Invisalign® 16 Monate Lucas Zahnpange Engstand Video Analyse Happy Moment Invisalign® 7 Monate Manfred`s Zahnspange Engstand Video Analyse Happy Moment Festsitzend 21 Monate Janine`s Zahnspange Kreuzbiss Überbiss Scherenbiss Video Analyse Happy Moment Invisalign®, Festsitzend 26 Monate Petra`s Zahnspange Engstand Kreuzbiss Offener Biss Happy Moment Invisalign®, Festsitzend 24 Monate Marcel`s Zahnspange Engstand Drehstand Happy Moment Festsitzend 11 Monate Philip`s Zahnspange Kreuzbiss Überbiss Happy Moment Invisalign® 17 Monate Sarah`s Zahnspange Engstand Drehstand Happy Moment Invisalign® 26 Monate Jutta`s Zahnspange Tiefbiss Happy Moment Festsitzend 7 Monate Simone`s Zahnspange Happy Moment Festsitzend 13 Monate Sonja`s Zahnspange Happy Moment Invisalign® 11 Monate Sonja`s Zahnspange Tiefbiss Happy Moment Invisalign® 17 Monate Marina`s Zahnspange Engstand Offener Biss Happy Moment Festsitzend 8 Monate Leonhard`s Zahnspange Happy Moment Festsitzend 12 Monate Anna`s Zahnspange Offener Biss Happy Moment Festsitzend 28 Monate Joy`s Zahnspange Kreuzbiss Happy Moment Invisalign® 20 Monate Aline`s Zahnspange Engstand Happy Moment Invisalign® Anna`s Zahnspange Engstand Happy Moment Invisalign® Nina`s Zahnspange Happy Moment Festsitzend 16 Monate Lukas Zahnspange Happy Moment Invisalign® 9 Monate Anita`s Zahnspange Happy Moment Festsitzend 16 Monate Jenny`s Zahnspange Engstand Happy Moment Invisalign® 15 Monate Daniela`s Zahnspange Engstand Kreuzbiss Happy Moment Invisalign® 13 Monate Katrin`s Zahnspange Happy Moment Invisalign® 29 Monate Monika`s Zahnspange Happy Moment Invisalign® 25 Monate Sophie`s Zahnspange Kreuzbiss Drehstand Happy Moment Festsitzend 11 Monate Himali`s Zahnspange Engstand Kreuzbiss Happy Moment Invisalign® 21 Monate Ngoc`s Zahnspange Engstand Happy Moment Invisalign® 13 Monate Camilo`s Zahnspange Engstand Kreuzbiss Offener Biss Happy Moment Invisalign® Robert`s Zahnspange Happy Moment Invisalign® 11 Monate Frances`Zahnspange Engstand Happy Moment Invisalign® Caroline`s Zahnspange Happy Moment Invisalign® 11 Monate Benjamin`s Zahnspange Happy Moment Festsitzend 9 Monate Nenad`s Zahnspange Happy Moment Festsitzend 11 Monate Kristina`s Zahnspange Happy Moment Invisalign® 32 Monate Lisa`s Zahnspange Kreuzbiss Happy Moment Invisalign® 8 Monate Nicole`s Zahnspange Happy Moment Festsitzend 9 Monate Sabrina`s Zahnspange Tiefbiss Scherenbiss Happy Moment Invisalign® 18 Monate Sophie`s Zahnspange Engstand Offener Biss Happy Moment Invisalign® 19 Monate Nadja`s Zahnspange Engstand Kreuzbiss Happy Moment Festsitzend 9 Monate Martin`s Zahnspange Offener Biss Happy Moment Festsitzend Irina`s Zahnspange Kreuzbiss Überbiss Happy Moment Invisalign® Melanie`s Zahnspange Engstand Tiefbiss Happy Moment Invisalign® Bernhard`s Zahnspange Engstand Happy Moment Festsitzend 16 Monate Anna`s Zahnspange Engstand Tiefbiss Happy Moment Invisalign® Maximilian`s Zahnspange Happy Moment Invisalign® 16 Monate Ella`s Zahnspange Engstand Happy Moment Invisalign® 16 Monate Melanie`s Zahnspange Happy Moment Invisalign® 18 Monate Julia`s Zahnspange Happy Moment Festsitzend 10 Monate Katharina`s Zahnspange Engstand Happy Moment Invisalign® 24 Monate Tina`s Zahnspange Engstand Tiefbiss Happy Moment Invisalign® 10 Ana`s Zahnspange Engstand Happy Moment Festsitzend 18 Monate Katharina`s Zahnspange Engstand Happy Moment Invisalign® 11 Monate Philipp`s Zahnspange Tiefbiss Zahnlücken Happy Moment Invisalign® 24 Monate Bianca`s Zahnspange Engstand Protrusion Happy Moment Invisalign®, Festsitzend 31 Monate Nina´s Zahnspange Engstand Überbiss Happy Moment Festsitzend 24 Monate Jens Zahnspange Engstand Kreuzbiss Happy Moment Festsitzend 19 Monate André`s Zahnspange Tiefbiss Happy Moment Festsitzend 16 Monate Raihana`s Zahnspange Kreuzbiss Happy Moment Festsitzend 18 Monate Florian`s Zahnspange Vorbiss Happy Moment Festsitzend 21 Monate Elisabeth`s Zahnspange Engstand Kreuzbiss Happy Moment Festsitzend 11 Monate Jaqueline`s Zahnspange Engstand Offener Biss Happy Moment Festsitzend 11 Monate Michael`s Zahnspange Offener Biss Happy Moment Festsitzend 14 Monate Jasmin`s Zahnspange Engstand Kreuzbiss Scherenbiss Happy Moment Invisalign® 11 Monate Fiona`s Zahnspange Happy Moment Festsitzend 17 Monate Marvin`s Zahnspange Engstand Tiefbiss Happy Moment Festsitzend Anton`s Zahnspange Happy Moment Festsitzend Sigrid`s Zahnspange Happy Moment Invisalign® 19 Monate Julia`s Zahnspange Happy Moment Invisalign® 19 Monate Janine`s Zahnspange Happy Moment Festsitzend 17 Monate Anastasia`s Zahnspange Kreuzbiss Happy Moment Festsitzend 25 Monate Fabian`s Zahnspange Engstand Kreuzbiss Happy Moment Festsitzend 13 Monate Stefanies Zahnspange Zahnlücken Happy Moment Festsitzend 24 Monate Moon`s Zahnspange Engstand Happy Moment Festsitzend Sara`s Zahnspange Happy Moment Invisalign® 14 Monate Martina`s Zahnspange Engstand Kreuzbiss Happy Moment Festsitzend 23 Monate Marko`s Zahnspange Kreuzbiss Happy Moment Invisalign® 32 Monate Karin`s Zahnspange Engstand Kreuzbiss Tiefbiss Happy Moment Invisalign® 15 Monate Alexander`s Zahnspange Zahnlücken Happy Moment Festsitzend 32 Monate Günther`s Zahnspange Engstand Kreuzbiss Happy Moment Festsitzend 27 Monate Jakob`s Zahnspange Tiefbiss Scherenbiss Happy Moment Festsitzend 29 Monate Cornelia`s Zahnspange Protrusion Happy Moment Festsitzend 21 Monate Petra`s Zahnspange Happy Moment Festsitzend 11 Monate Verena`s Zahnspange Happy Moment Invisalign® 13 Monate Werner`s Zahnspange Engstand Happy Moment Festsitzend 17 Monate Blessy`s Zahnspange Engstand Happy Moment Festsitzend Nesrin`s Zahnspange Engstand Happy Moment Festsitzend 24 Monate Rick`s Zahnspange Engstand Kreuzbiss Happy Moment Festsitzend 11 Monate Daniela`s Zahnspange Engstand Kreuzbiss Happy Moment Festsitzend 30 Monate Ridoy`s Zahnspange Engstand Happy Moment Festsitzend 25 Monate Barbara`s Zahnspange Engstand Protrusion Happy Moment Invisalign® 13 Monate Judith`s Zahnspange Engstand Offener Biss Drehstand Happy Moment Invisalign® Tatjana`s Zahnspange Engstand Happy Moment Invisalign® 20 Monate Robert`s Zahnspange Tiefbiss Vorbiss Happy Moment Festsitzend 14 Monate Julia`s Zahnspange Kreuzbiss Happy Moment Invisalign® 14 Monate Ida`s Zahnspange Engstand Happy Moment Festsitzend Vanessa`s Zahnspange Engstand Kreuzbiss Happy Moment Festsitzend 18 Monate Thomas Zahnspange Kreuzbiss Happy Moment Festsitzend 8 Monate Lisa`s Zahnspange Happy Moment Festsitzend 7 Monate Cengiz`s Zahnspange Kreuzbiss Happy Moment Invisalign® 13 Monate Andre`s Zahnspange Engstand Kreuzbiss Happy Moment Invisalign® 32 Monate Bettina`s Zahnspange Engstand Offener Biss Happy Moment Festsitzend 11 Monate Cathrina`s Zahnspange Happy Moment Festsitzend 12 Monate Emily`s Zahnspange Engstand Tiefbiss Happy Moment Festsitzend 9 Monate Nikola`s Zahnspange Engstand Kreuzbiss Happy Moment Festsitzend 3 Monate Leo`s Zahnspange Kreuzbiss Happy Moment Invisalign® 18 Monate Regina`s Zahnspange Engstand Offener Biss Happy Moment Festsitzend Leo`s Zahnspange Happy Moment Festsitzend 14 Jenny`s Zahnspange Engstand Happy Moment Invisalign® 12 Monate Carina`s Zahnspange Engstand Tiefbiss Happy Moment Invisalign® 18 Monate Gregor`s Zahnspange Engstand Kreuzbiss Scherenbiss Happy Moment Festsitzend 25 Monate Michael`s Zahnspange Offener Biss Unsichtbare Invisalign Zahnspange bei Eltz » Vorher Nachher